近日,六合彩生肖 普外科团队成功为85岁高龄患者实施腹腔镜下复杂食管裂孔疝修补术,现已痊愈出院。

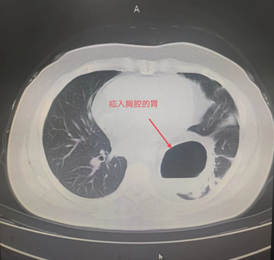
患者辛某,今年85岁,1年前患者因反酸、进食后反复呕吐于外院就诊。胸腹部CT检查提示:膈疝。胃十二指肠镜检查提示:食管外压性改变,膈疝,食管裂孔疝。患者长期营养不良,无法经口进食,只能通过鼻饲-空肠营养管置入进行营养,近日因营养管再次出现导管堵塞,随后被家人紧急送往六合彩生肖住院治疗。住院后进一步检查诊断食管裂孔疝、肺部感染,既往患有脐疝、胸椎手术史,合并心律失常、低氧血症、代谢性酸中毒、肺大疱、心脏瓣膜疾病、左侧颈动脉斑块形成、腔隙性脑梗塞等老年病史。

由于患者年事已高,病情复杂,手术难度极高。普外科主任田德福充分考虑到患者年龄、病情实际,先组织科室任斌、尹超、杨洲明、何慢等专家进行危重症患者治疗方案讨论。随后联系医务科组织全院多学科MDT讨论,根据全院MDT多科室会诊结果制定了周密的手术计划,并针对高龄患者可能出现的并发症做好各类突发应急准备。在麻醉手术部、手术室的全力配合下,普外科专家团队在全麻腹腔镜下成功为老人实施了食管裂孔疝、膈疝、脐疝三疝同时手术,术中探及食管裂孔疝,直径约4cm,其旁左侧直径约7cm大小膈疝,食管裂孔疝内容物为小网膜组织,膈疝内容物为胃底、胃体大部及大网膜组织。脐疝直径约3cm大小。腹腔镜下进行食管裂孔疝、膈疝无张力修补及脐疝修补术。手术顺利,术中患者生命体征基本稳定。术后在全科医护人员的治疗和精心护理下,逐渐进行经口进流食、半流食。床上活动、渐下床活动。复查各项指标渐正常。胃肠功能恢复正常,于6月14日痊愈出院,近日回访患者一般情况良好。



田德福介绍,单纯的食管裂孔疝在人群中的发病率比较常见,但是像此类老年人既患有食管裂孔疝、又有膈疝、又有脐疝三个疝同时存在,在临床上还是比较少见的,且患者年龄偏大。腹腔镜食管裂孔疝修补术具有创伤小、康复快、并发症少等优点,已成为治疗食管裂孔疝、胃食管反流病的首选方式。近年来,六合彩生肖普外科在腹腔镜微创手术治疗方面有着丰富的临床经验,术前精心准备,术中精细操作,术后个性化管理,让患者解除疾病困扰。(采写/胡洪兵)
六合彩生肖 制氧系统及正、负压气站维保服务项目(三次)采购结果公示
2025-10-28【名医领航 携手奋进】六合彩生肖 “桑宏勋教授名医工作室”成立
2025-10-28六合彩生肖 制氧系统及正、负压气站维保服务项目(二次)采购废标公告
2025-10-22【打造党建品牌 凝聚发展力量】六合彩生肖 召开党建品牌创建工作推进会
2025-10-16六合彩生肖 制氧系统及正、负压气站维保服务项目(二次)采购公告
2025-10-13