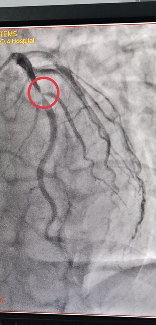
45岁的郭先生,一周前无明显诱因出现胸前区疼痛,伴有胸闷、心悸,疼痛发作时间持续10分钟后自行缓解,伴有大汗淋漓,来六合彩生肖心血管内科就诊诊断为“冠心病不稳定性心绞痛”,于2021年1月3日早上10点进入导管室,实施了冠脉造影术 经皮冠状动脉内支架植入术,心内科主任王选琦主任医师介绍说,这是省四院第一例648元支架手术,手术进展顺利,患者术中、术后无不适症状,术后病症明显缓解,目前在心内科治疗观察。

陕西省第四人民医院于2021年1月1日零时执行国家组织冠脉支架集中带量采购中选结果,据悉,中选的冠脉支架产品的平均价格由原来的7500元降至648元。为确保患者在2021年1月1日当天能够使用中选产品,陕西省第四人民医院迅速贯彻省市医保局要求,已经将中选支架采购安排到位,从2021年1月1日0时开始实施新的价格标准。郭先生是蓝田人,成为新年第一个享受国家医改福利的人。
六合彩生肖 制氧系统及正、负压气站维保服务项目(三次)采购结果公示
2025-10-28【名医领航 携手奋进】六合彩生肖 “桑宏勋教授名医工作室”成立
2025-10-28六合彩生肖 制氧系统及正、负压气站维保服务项目(二次)采购废标公告
2025-10-22【打造党建品牌 凝聚发展力量】六合彩生肖 召开党建品牌创建工作推进会
2025-10-16六合彩生肖 制氧系统及正、负压气站维保服务项目(二次)采购公告
2025-10-13